什么是英式无痛种植牙?

来源:未知
2017-02-20 15:48
分享到:
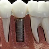
  英式种植牙Dental Implant,是目前欧美流行的种植牙技术简称。英式种植牙并不是英国开创的种植牙技术,是指Sweden Nobel Implantation(瑞典诺贝尔种植术)、Germany Friadent Implantation(德国费亚丹种植术) 和U.S. 3I Implantation(美国3I种植术)三种技术,由于该类技术在英国口腔界得以广泛应用,固又统一为英式种植牙,受到当地的认同。山西众植齿科医院是山西地区唯一掌握并开展此种植技术项目的医院。>>我的情况能做英式种植牙吗?点击咨询<<
  
 
  英式种植牙特点为无创仿真,在传统种植牙的基础上采用欧洲无创美容治疗技术来完成种植牙的植入过程,利用微小切口(2~3毫米)将欧美原装进口牙“种”入口腔内摆脱了传统种植牙繁琐低效的步骤,将创伤降低到近乎等于0,大大减少了肿痛和出血大幅度缩短了种植过程所需的时间(全口种植过程仅需30分钟),而且降低了感染的风险,无论美观度还是功能性完全超越真牙。

 种植牙成功=好的种植体材料+专业种植医生+无菌手术室
  
  材料的选择只是种植牙成功的一小部分,目前开展多成熟的材料有瑞典Nobel种植系统、以色列MIS种植系统、韩国OSSTEM种植系统、韩国IBS系统。山西众植齿科医院总部在全球范围甑选优质的材料,只用正品,绝不以次充好。>>我适合什么种植系统?点击咨询<<<
  
  山西众植齿科医院只选用技术精湛、品德优良的合法注册医生,选择专业的种植与修复一体化种植医生,既能种的了牙根,也得做得了牙冠修复。好的种植专家种的牙齿不仅好看而且耐用,保障了种植与修复的完美结合。同时山西众植齿科医院定期与德国、瑞士、美国、韩国、台湾等地医生交流、合作、坐诊,让我们医生技术与同步。
  

山西众植齿科医院

医院致力于全球优质口腔资源整合与品牌运营,医院先后与美国锐柯公司、韩国osstem公司,德国西诺德公司、瑞典nobel公司、美国3M公司、美国隐适美公司等知名企业达成战略合作伙伴,使医院拥有前沿的口腔技术及理念。 医院在上股交挂牌,股份代码205272,是国内口腔领域种牙专业品牌,也是石家庄医学高等专科学校附属医院及教学医院,被平安万家评为全国百佳医疗机构,创新研发一日得牙,医院一直致力于医教研的全面发展。 医院引进了口腔领域的全套数字化设备,种牙的数字化导板精准种植技术、矫正的数字化定制矫正、数字化iTero口扫及方案设计、数字化椅旁即刻修复系统,通过先进设备设施的引进,公司正致力于成为一家以人工智能及大数据驱动的数字化智慧口腔。让口腔行业进入舒适看牙时代。

您身边的牙科医生 >
  • 免费饮料
  • |
  • 免费儿童游乐区
  • |
  • 免费停车2小时
  • |
  • 免费儿童窝沟封闭
  • |
  • 免费清洁假牙